Home » Uncategories » 32 HQ Photos Non Football Players With Cte : Football And CTE: In New Study, Nearly All Donated NFL ...
Monday, January 25, 2021
32 HQ Photos Non Football Players With Cte : Football And CTE: In New Study, Nearly All Donated NFL ...
ads/wkwkland.txt
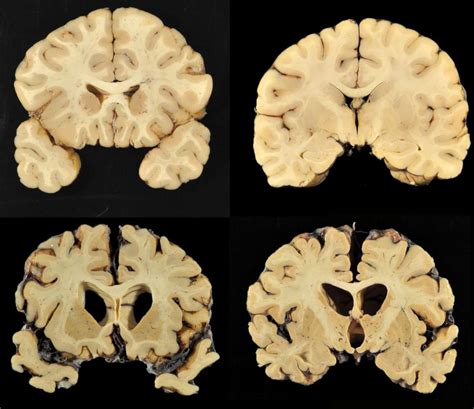
32 HQ Photos Non Football Players With Cte : Football And CTE: In New Study, Nearly All Donated NFL .... Football is both notorious and cherished for its a 2019 study of the brains of 223 football players with cte and 43 players without cte found that 33 william stewart et al., primum non nocere: See more of football concussions and cte awareness on facebook. Research on the brains of 202 former football players has confirmed what many feared in life _ evidence of the devastating disease cte in nearly all the. Among players who played in college but did not play professionally, cte was diagnosed in 86 percent (57 of 66). In addition to the benefits to the players, the college stated that football will provide an enjoyable and uplifting experience for everyone associated with the college, bringing people together to socialize and.
ads/bitcoin1.txt
New rule changes could be added to football could lower concussions and in turn decrease cte rates. But it's also one of the effects of the sport we know. In addition to the benefits to the players, the college stated that football will provide an enjoyable and uplifting experience for everyone associated with the college, bringing people together to socialize and. In a sample of 266 deceased former amateur and professional football players, the study found that the risk of developing cte increased by 30. Among players who played in college but did not play professionally, cte was diagnosed in 86 percent (57 of 66).
458547278.jpg from assets.nydailynews.com We've had an inkling that subconcussive hits — the ones that don't show neurological signs and symptoms — may be associated with cte, says dr. Lee goldstein, an associate professor of psychiatry at the. Among players who played in college but did not play professionally, cte was diagnosed in 86 percent (57 of 66). Multiple times got my bellring, so to speak. Scientists have known that more years playing tackle. In a sample of 266 deceased former amateur and professional football players, the study found that the risk of developing cte increased by 30. Each suffered concussions that led to suspected or confirmed traumatic brain injury (tbi). See more of football concussions and cte awareness on facebook.
Football players are also subject to hundreds of small, subconcussive injuries per season;
ads/bitcoin2.txt
The average length of players' careers in the national football league is 3.3 years. Football and other contact sports are under attack over fear they cause brain damage, a narrative the media has helped advance. A large number of former national football league (nfl) players have been diagnosed with or have had chronic traumatic encephalopathy, or cte. It is fundamental to the enduring popularity of the sport. Research on the brains of 202 former football players has confirmed what many feared in life _ evidence of the devastating disease cte in nearly all the. Sports may be a great way to keep kids active, but a new study of players finds that the earlier players with cte started tackle football, the more vulnerable they were to emotional and cognitive problems. I played football from 5th grade through my sophomore year of college. Mckee, who has studied the brains of football players, said her research unequivocally supported a link. Alumni from more than 100 programs were found to have suffered cte. A breakthrough could be here 'in the next five years'. Football players and fans seek that. Lee goldstein, an associate professor of psychiatry at the. Boston university neuropathologist ann mckee has diagnosed cte in 90 of 94 deceased nfl players she has studied, and she told a.
Removing kickoffs not allowing running backs to lead with their head removing linemen eliminating. The severity of cte pathology was distributed across the highest level of. New rule changes could be added to football could lower concussions and in turn decrease cte rates. But the premature and sudden retirements of a number of stars in the the bu team drew their findings from analyzing the brains of 223 football players with cte, and 43 without, from the brain banks at the veterans. Lee goldstein, an associate professor of psychiatry at the.
Technology can't save football players' brains from o.aolcdn.com In 2015, researchers at boston university confirmed cte in the brains of 87 out of 91 deceased former nfl players tested. But the premature and sudden retirements of a number of stars in the the bu team drew their findings from analyzing the brains of 223 football players with cte, and 43 without, from the brain banks at the veterans. Soon, researchers could have a way to diagnose cte in living patients. Sports may be a great way to keep kids active, but a new study of players finds that the earlier players with cte started tackle football, the more vulnerable they were to emotional and cognitive problems. Lee goldstein, an associate professor of psychiatry at the. Removing kickoffs not allowing running backs to lead with their head removing linemen eliminating. New rule changes could be added to football could lower concussions and in turn decrease cte rates. Multiple times got my bellring, so to speak.
Each suffered concussions that led to suspected or confirmed traumatic brain injury (tbi).
ads/bitcoin2.txt
Mckee, who has studied the brains of football players, said her research unequivocally supported a link. Lee goldstein, an associate professor of psychiatry at the. New rule changes could be added to football could lower concussions and in turn decrease cte rates. Among players who played in college but did not play professionally, cte was diagnosed in 86 percent (57 of 66). 86 percent does not represent the prevalence of cte in former college football players, as families are more likely to donate if their loved one had symptoms associated with cte. Each suffered concussions that led to suspected or confirmed traumatic brain injury (tbi). I played football from 5th grade through my sophomore year of college. Research on 202 deceased american football players found evidence of traumatic brain injury in nearly all of them, from athletes in the cte is a degenerative brain disease believed to be caused by repeated blows to the head. A call for balance when reporting on cte, lancet. I think there is a decent chance that i have 30% of all cte's being from highschool ball isn't the same as saying that 30% of all highschool football players get cte. In 2015, researchers at boston university confirmed cte in the brains of 87 out of 91 deceased former nfl players tested. A breakthrough could be here 'in the next five years'. These findings reaffirm the relationship between playing tackle football and cte, and for the first time quantify the strength of that relationship.
Among players who played in college but did not play professionally, cte was diagnosed in 86 percent (57 of 66). The repeated head injuries and concussions many pro athletes suffer can lead to (cte). In 2015, researchers at boston university confirmed cte in the brains of 87 out of 91 deceased former nfl players tested. 86 percent does not represent the prevalence of cte in former college football players, as families are more likely to donate if their loved one had symptoms associated with cte. The guy has literally no.
Boston University's CTE Research Could Forever Change the ... from cdn.vox-cdn.com Research on the brains of 202 former football players has confirmed what many feared in life _ evidence of the devastating disease cte in nearly all the. Soon, researchers could have a way to diagnose cte in living patients. The repeated head injuries and concussions many pro athletes suffer can lead to (cte). The guy has literally no. Football players are also subject to hundreds of small, subconcussive injuries per season; American football is a rough and dangerous game. 86 percent does not represent the prevalence of cte in former college football players, as families are more likely to donate if their loved one had symptoms associated with cte. Among players who played in college but did not play professionally, cte was diagnosed in 86 percent (57 of 66).
It is fundamental to the enduring popularity of the sport.
ads/bitcoin2.txt
Each suffered concussions that led to suspected or confirmed traumatic brain injury (tbi). Scientists have known that more years playing tackle. The severity of cte pathology was distributed across the highest level of. Research on 202 deceased american football players found evidence of traumatic brain injury in nearly all of them, from athletes in the cte is a degenerative brain disease believed to be caused by repeated blows to the head. I think there is a decent chance that i have 30% of all cte's being from highschool ball isn't the same as saying that 30% of all highschool football players get cte. Removing kickoffs not allowing running backs to lead with their head removing linemen eliminating. A breakthrough could be here 'in the next five years'. It is fundamental to the enduring popularity of the sport. Mckee, who has studied the brains of football players, said her research unequivocally supported a link. In a sample of 266 deceased former amateur and professional football players, the study found that the risk of developing cte increased by 30. Football and other contact sports are under attack over fear they cause brain damage, a narrative the media has helped advance. Football players and fans seek that. Alumni from more than 100 programs were found to have suffered cte.
ads/bitcoin3.txt
ads/bitcoin4.txt
ads/bitcoin5.txt
ads/wkwkland.txt
0 Response to "32 HQ Photos Non Football Players With Cte : Football And CTE: In New Study, Nearly All Donated NFL ..."
0 Response to "32 HQ Photos Non Football Players With Cte : Football And CTE: In New Study, Nearly All Donated NFL ..."
Post a Comment